Schöne Zähne Vorher - Nachher Fotos

Endlich schöne Zähne!

Vorher - Nachher Fotos der Zahnärzte Dres. Classen in Jülich

"Krone ist gleich Krone, Zahnersatz gleich Zahnersatz! Zahnarzt X macht Kronen genau so gut, wie Zahnarzt Y, aber viel billiger. Es gibt da keine großen Unterschiede! Alle Zahnärzte arbeiten gleich gut. Alle Zahntechniker ebenfalls. Sie unterscheiden sich nur im Preis."

Glauben Sie das?

Dann würden sie Zahnärzten und Zahntechnikern etwas zutrauen, was es in keinem anderen Beruf gibt.
Wir haben uns in vielen Jahren auf die Behandlung schwieriger Fälle und die Anfertigung besonders schöner Zähne spezialisiert und blicken auf mittlerweile mehr als 30 Jahre Erfahrung zurück. Deshalb können wir Patienten außergewöhnliche ästhetische Komplettlösungen in wenigen Langzeitterminen (oft nur zwei Termine; s. Fotos) anbieten, die sich deutlich von den Ergebnissen ihrer Vorbehandler unterscheiden.

Fotos eigener Behandlungen sind aus unserer Sicht die ehrlichste Visitenkarte eines Zahnarztes und sagen mehr, als 1000 schön formulierte Worte auf Internetseiten. Deshalb an dieser Stelle einfach ein paar Beispiele bei uns durchgeführter ästhetischer Korrekturen mit Vorher-Nachher-Fotos.
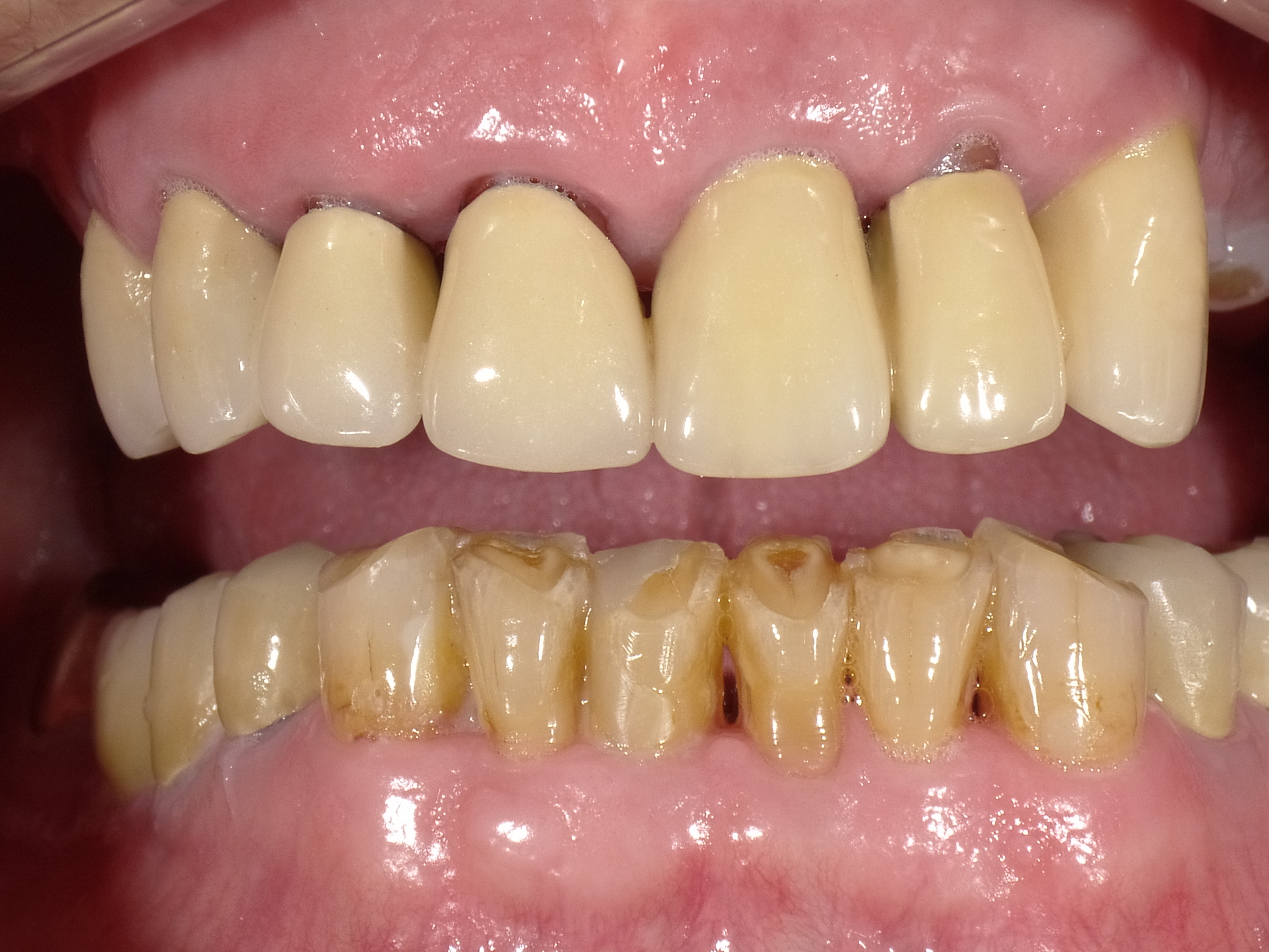
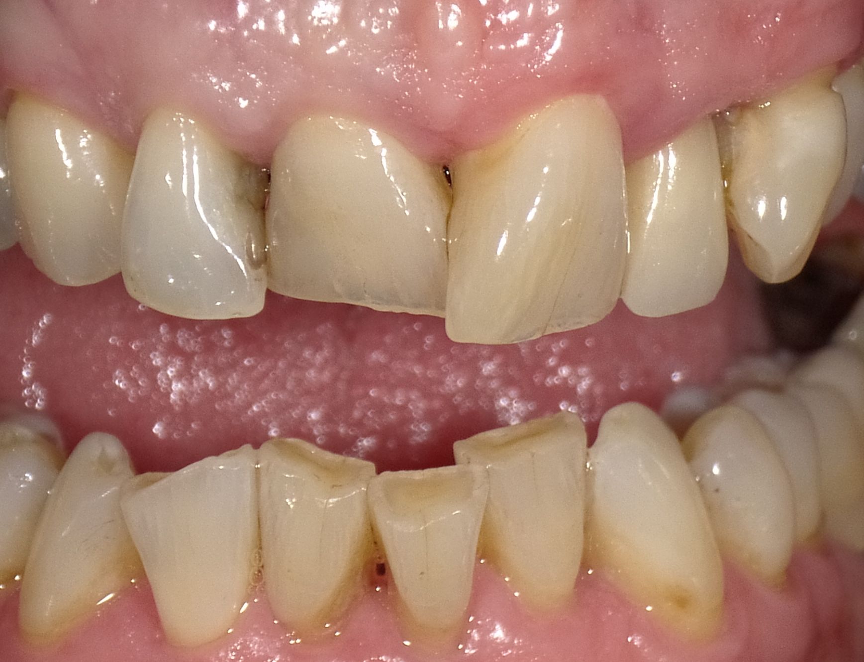
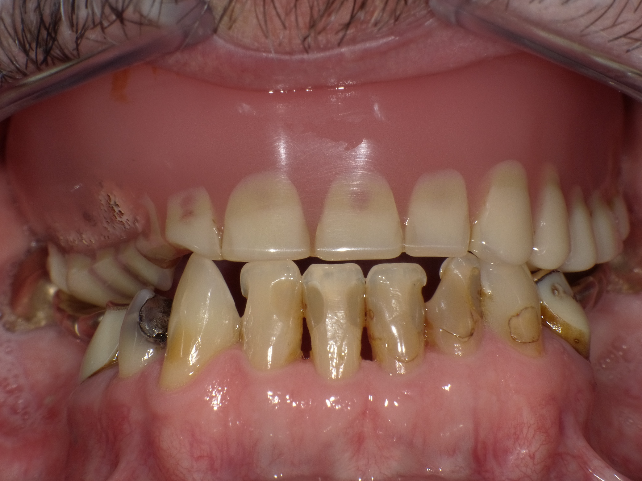
In der linken Spalte immer die Ausgangssituation, mit der der Patient von seinem oft langjährigen Zahnarzt zu uns gewechselt ist, rechts unser erzieltes Behandlungsergebnis.

 

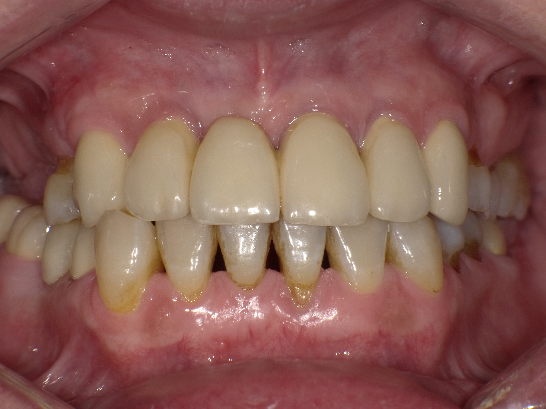
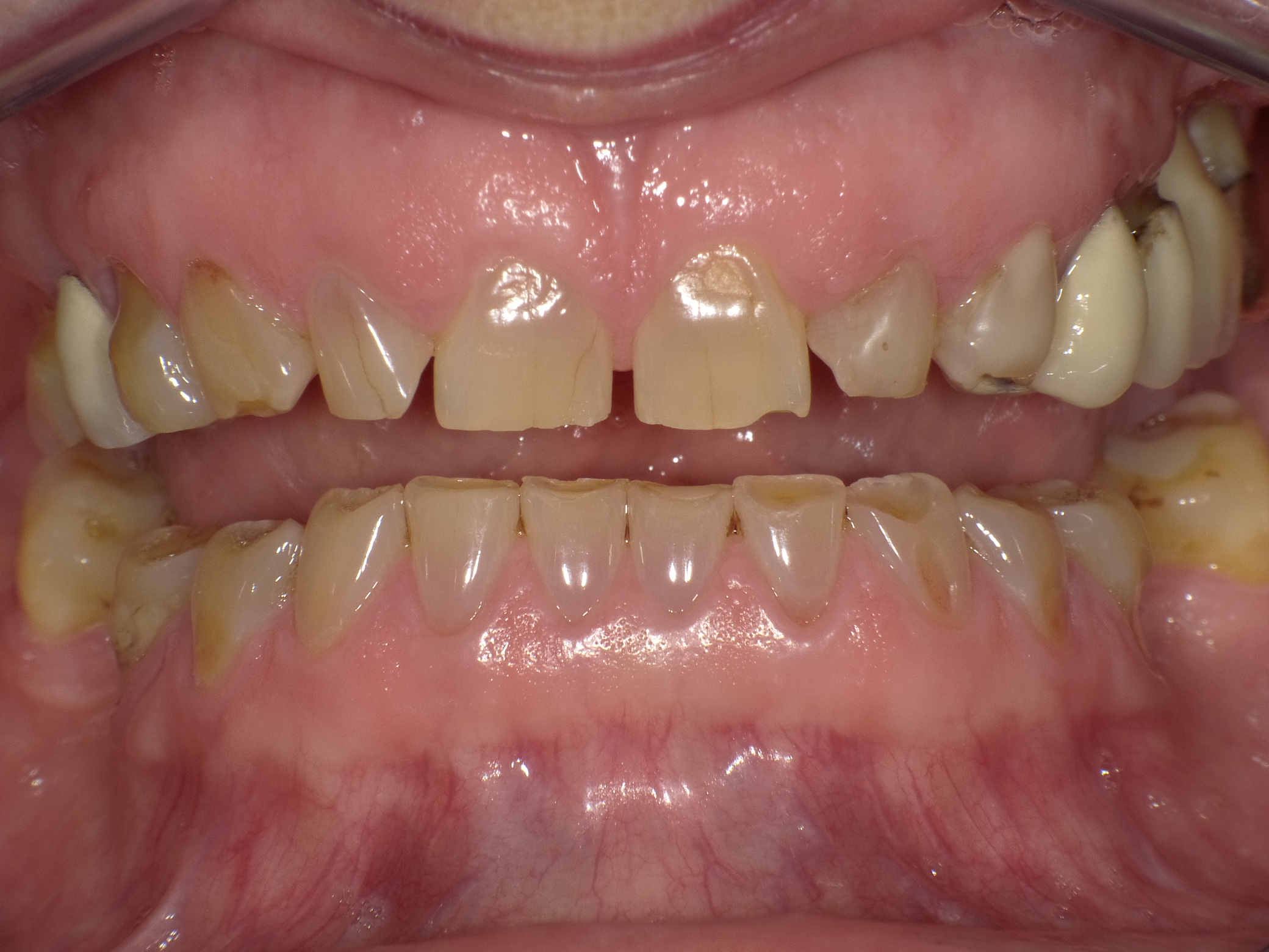
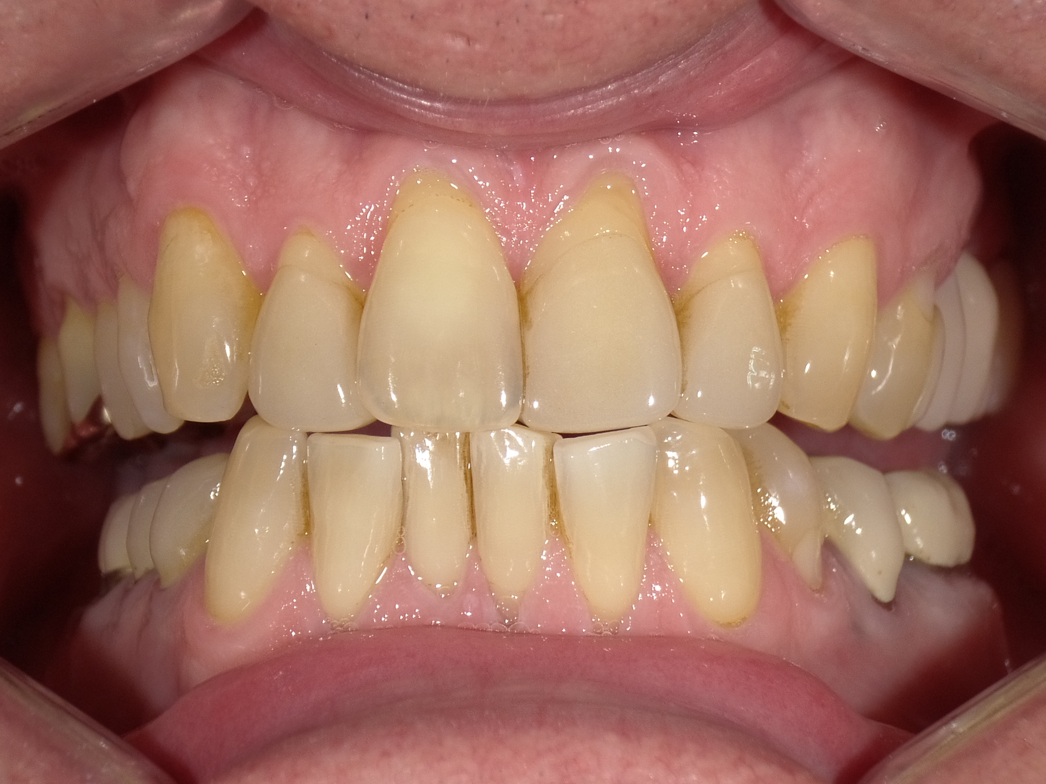
Unbefriedigende Ästhetik, vor allem aber Entzündungen im Knochen und eine massive Parodontitis mit bereits gelockerten Zähnen
Vorher: Unbefriedigende Ästhetik, vor allem aber Entzündungen im Knochen und eine massive Parodontitis mit bereits gelockerten Zähnen
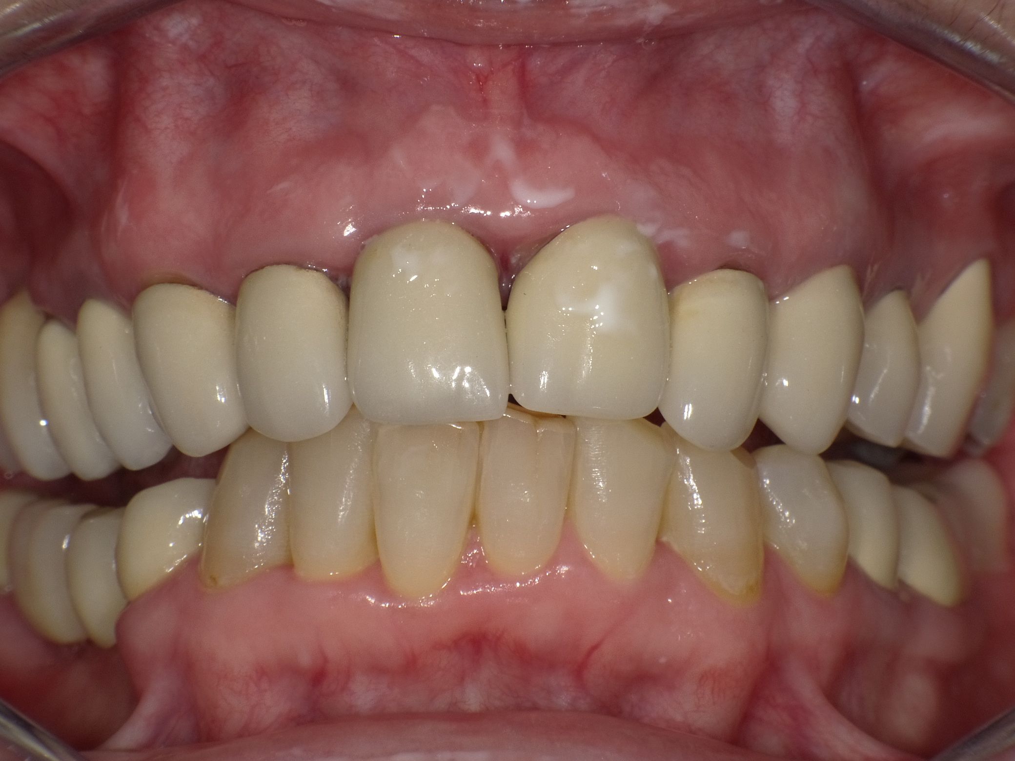
Gesamtbehandlung in Sedierung: die Seitenzähne wurden durch Keramik-Implantate (Zahnentfernungen und Sofortimplantation) mit Knochenaufbau ersetzt; anschließend Gesamtüberkronung aus Vollkeramik mit Optimierung der Ästhetik
Nachher: Gesamtbehandlung in Sedierung: die Seitenzähne wurden durch Keramik-Implantate (Zahnentfernungen und Sofortimplantation) mit Knochenaufbau ersetzt; anschließend Gesamtüberkronung aus Vollkeramik mit Optimierung der Ästhetik
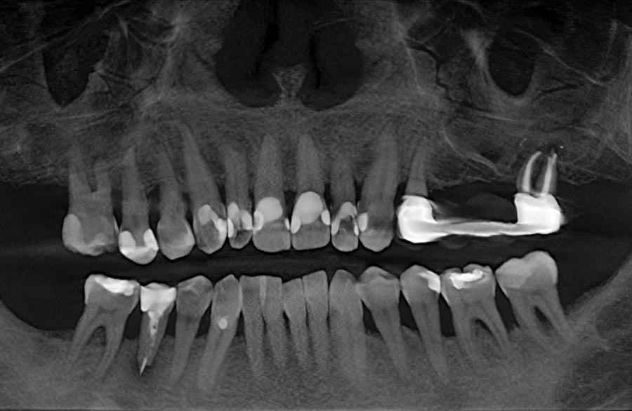
der obige Fall röntgenologisch vorher
Vorher: der obige Fall röntgenologisch vorher
man kann die Keramik-Implantate und den erfolgreichen Knochenaufbau im Unterkiefer, aber auch in beiden Kieferhöhlen (offener Sinuslift) sehr gut erkennen; auch den perfekten Sitz aller vollkeramischen Kronen
Nachher: man kann die Keramik-Implantate und den erfolgreichen Knochenaufbau im Unterkiefer, aber auch in beiden Kieferhöhlen (offener Sinuslift) sehr gut erkennen; auch den perfekten Sitz aller vollkeramischen Kronen
Teilweise Nichtanlage bleibender Zähne mit teilweise noch vorhandenen Milchzähnen, abgesunkener, lückiger Bisslage
Vorher: Teilweise Nichtanlage bleibender Zähne mit teilweise noch vorhandenen Milchzähnen, abgesunkener, lückiger Bisslage
Komplettbehandlung mit Bisshebung, Setzen von Implantaten als Ersatz für die Milchzähne, Schaffen einer völlig neuen, ästhetischen Gesamtsituation mit vollkeramischen Kronen und Brücken
Nachher: Komplettbehandlung mit Bisshebung, Setzen von Implantaten als Ersatz für die Milchzähne, Schaffen einer völlig neuen, ästhetischen Gesamtsituation mit vollkeramischen Kronen und Brücken
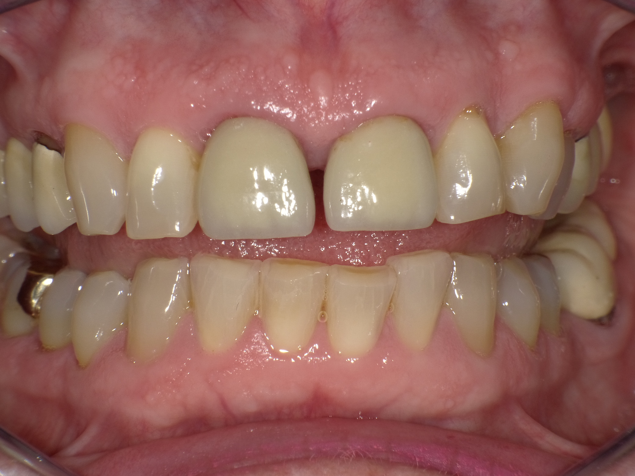
Patientin mit dem Wunsch nach ästhetischer Optimierung der Gesamtsituation
Vorher: Patientin mit dem Wunsch nach ästhetischer Optimierung der Gesamtsituation
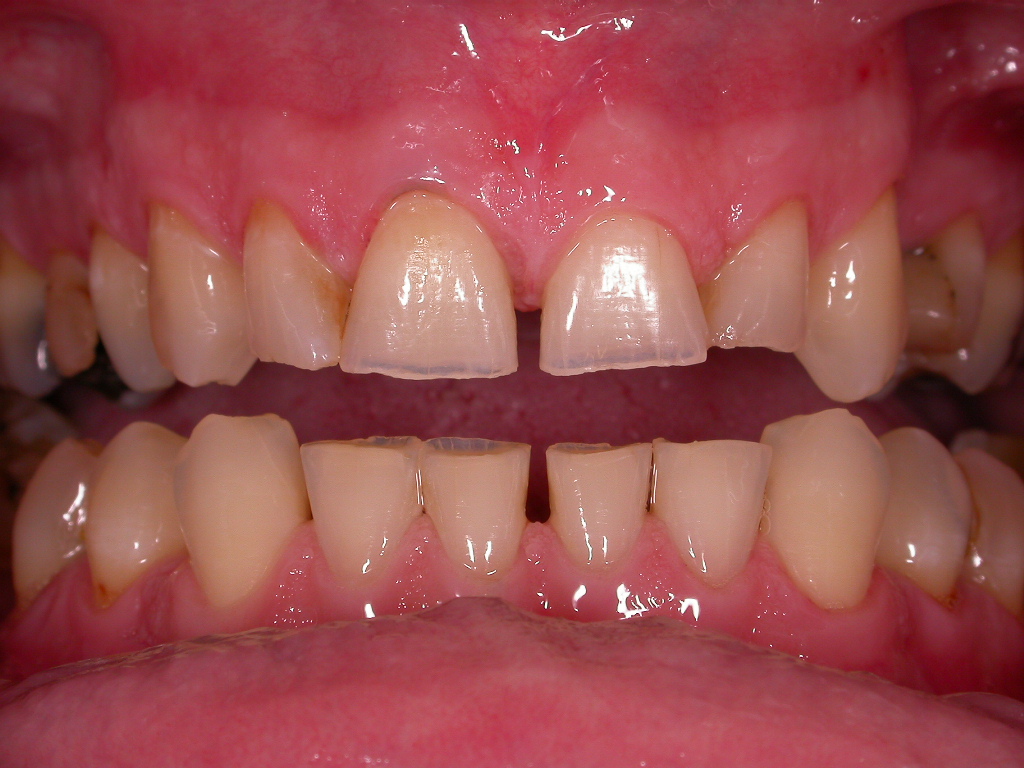
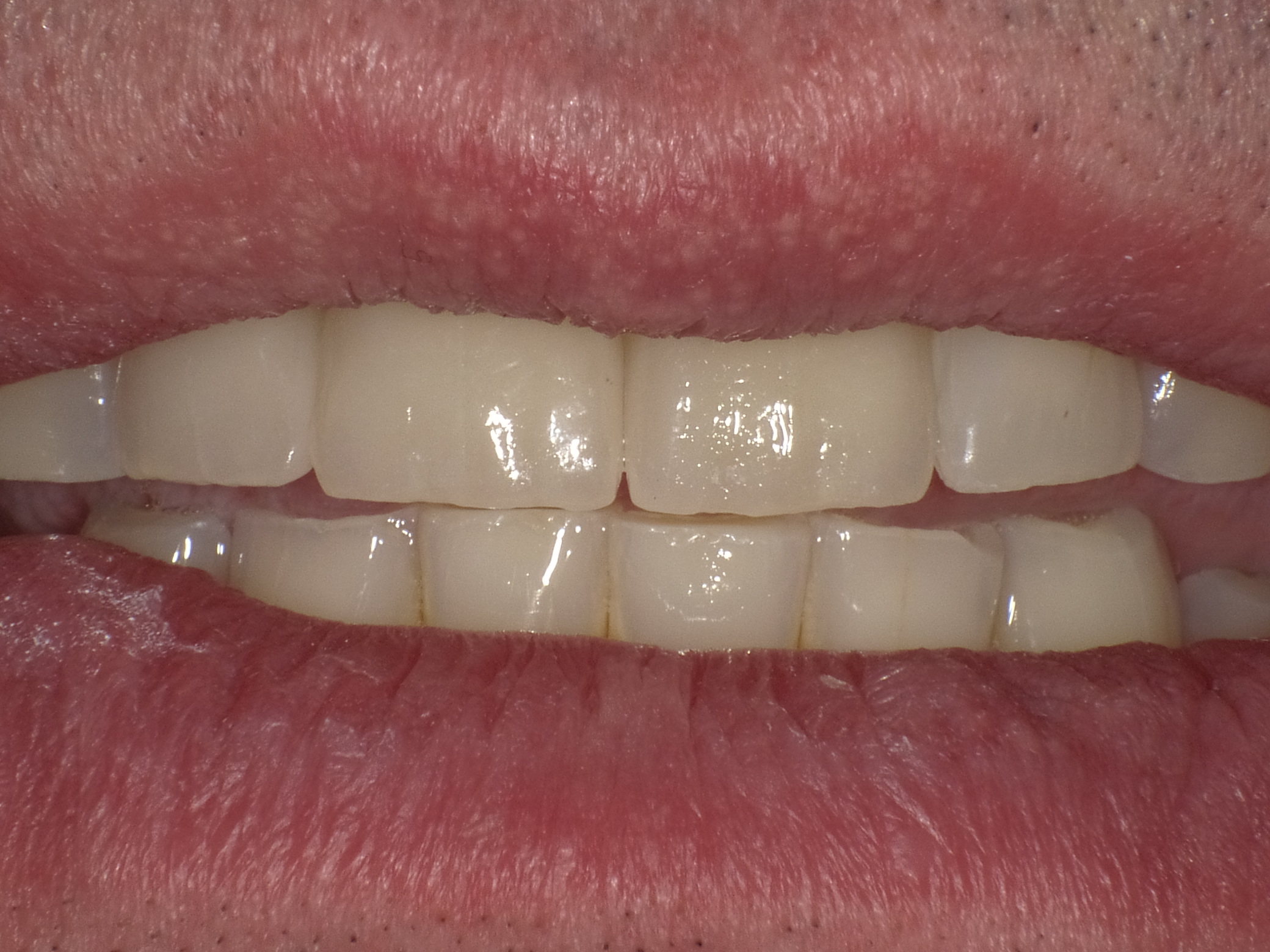
Ergebnis nach nur 2 Langzeit-Behandlungsterminen mit vollkeramischen Veneers und Kronen
Nachher: Ergebnis nach nur 2 Langzeit-Behandlungsterminen mit vollkeramischen Veneers und Kronen
Abradierte, gelbliche Zähne mit vielen Kunststoff-Füllungen und Kronen, die der Patientin nicht gefallen haben
Vorher: Abradierte, gelbliche Zähne mit vielen Kunststoff-Füllungen und Kronen, die der Patientin nicht gefallen haben
Leuchtende Zähne durch vollkeramische Veneers und Teilkronen in nur 2 Terminen
Nachher: Leuchtende Zähne durch vollkeramische Veneers und Teilkronen in nur 2 Terminen
Diverse Vorbehandlungen mit für die Patientin absolut inakzeptablem Ergebnis
Vorher: Diverse Vorbehandlungen mit für die Patientin absolut inakzeptablem Ergebnis
Komplette Veränderung mit vollkeramischen Kronen und Veneers in nur 2 Langzeitterminen; auch hier nachher ganz anderes Auftreten der Patientin, die ihre Zähne jetzt gerne zeigt und wieder gerne lacht
Nachher: Komplette Veränderung mit vollkeramischen Kronen und Veneers in nur 2 Langzeitterminen; auch hier nachher ganz anderes Auftreten der Patientin, die ihre Zähne jetzt gerne zeigt und wieder gerne lacht
Zahnfehlstellungen und teilweise nicht mehr erhaltungsfähige Zähne durch immer wieder durchgeführte Reparaturen ohne Konzept nach Kassenrichtlinien
Vorher: Zahnfehlstellungen und teilweise nicht mehr erhaltungsfähige Zähne durch immer wieder durchgeführte Reparaturen ohne Konzept nach Kassenrichtlinien
Idealisierung im Rahmen einer Komplettbehandlung mit Vollkeramik; Ersatz der nicht erhaltungsfähigen Zähne durch Implantate
Nachher: Idealisierung im Rahmen einer Komplettbehandlung mit Vollkeramik; Ersatz der nicht erhaltungsfähigen Zähne durch Implantate
Verfärbte Zähne und freiliegende Zahnhälse
Vorher: Verfärbte Zähne und freiliegende Zahnhälse
Ästhetische Optimierung mit vollkeramischen Veneers und Kronen in nur 2 Terminen
Nachher: Ästhetische Optimierung mit vollkeramischen Veneers und Kronen in nur 2 Terminen
gescheiterte Implantat-Versuche und künstlich aussehende, leblose Kronen
Vorher: gescheiterte Implantat-Versuche und künstlich aussehende, leblose Kronen
Strahlende Vollkeramik-Kronen; unten festsitzende Kronen auf neu gesetzten Implantaten
Nachher: Strahlende Vollkeramik-Kronen; unten festsitzende Kronen auf neu gesetzten Implantaten
Gelblich/gräulich schimmernde Frontzähne
Vorher: Gelblich/gräulich schimmernde Frontzähne
Attraktives Lächeln durch 6 Veneers und Bleaching
Nachher: Attraktives Lächeln durch 6 Veneers und Bleaching
Zapfenzähne
Vorher: Zapfenzähne
Formkorrektur mit Veneers
Nachher: Formkorrektur mit Veneers
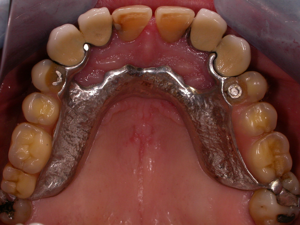
Herausnehmbare Modellguß-Prothese
Vorher: Herausnehmbare Modellguß-Prothese
Feste Zähne mit 8 Implantaten; aus Kostengründen wurden zwei alte Kronen mit dem Goldrand belassen
Nachher: Feste Zähne mit 8 Implantaten; aus Kostengründen wurden zwei alte Kronen mit dem Goldrand belassen
Unschöne Oberkiefer-Front
Vorher: Unschöne Oberkiefer-Front
Formkorrektur mit Kronen und Veneers
Nachher: Formkorrektur mit Kronen und Veneers
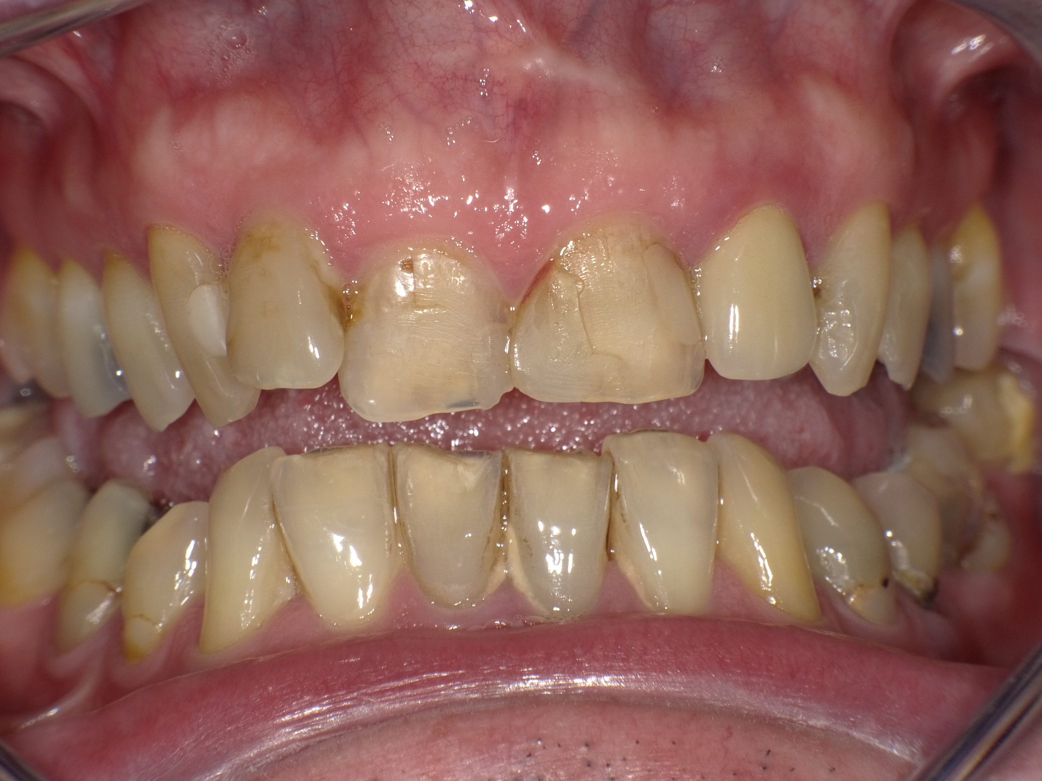
gelbliche Zähne mit vielen Kunststoffreparaturen
Vorher: gelbliche Zähne mit vielen Kunststoffreparaturen
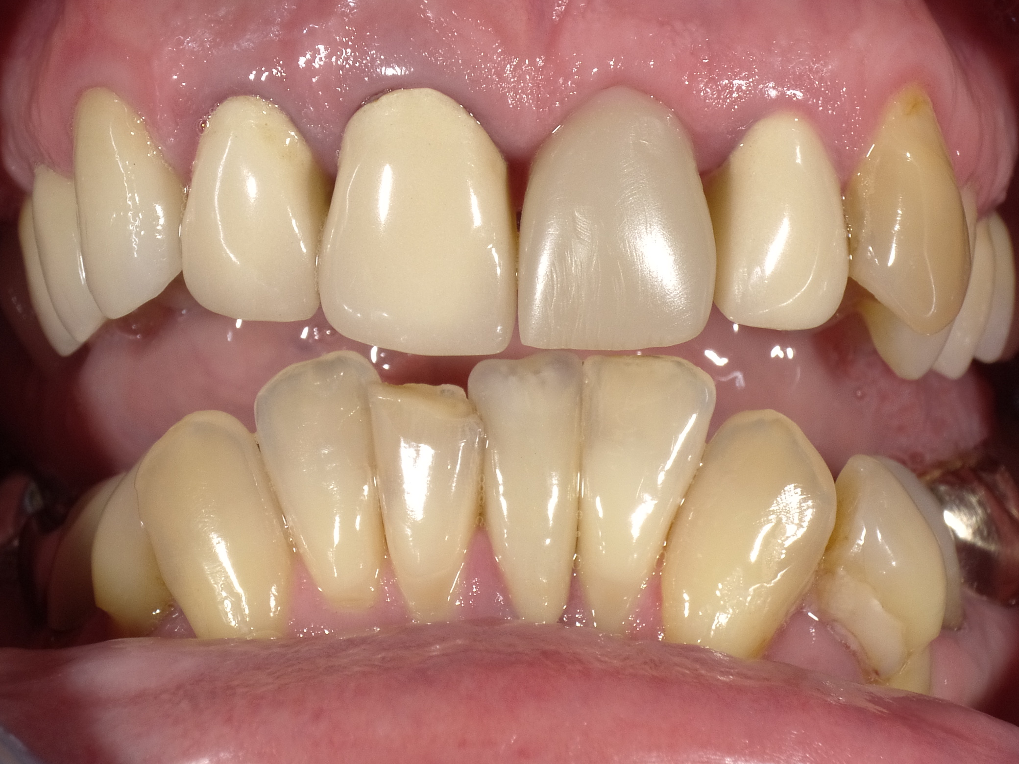
Keramische Veneers und Kronen
Nachher: Keramische Veneers und Kronen
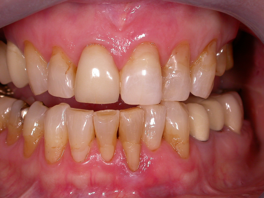
Parodontitis, unschöne Kronen, drohender Zahnverlust
Vorher: Parodontitis, unschöne Kronen, drohender Zahnverlust
Festsitzender Ersatz auf Implantaten
Nachher: Festsitzender Ersatz auf Implantaten
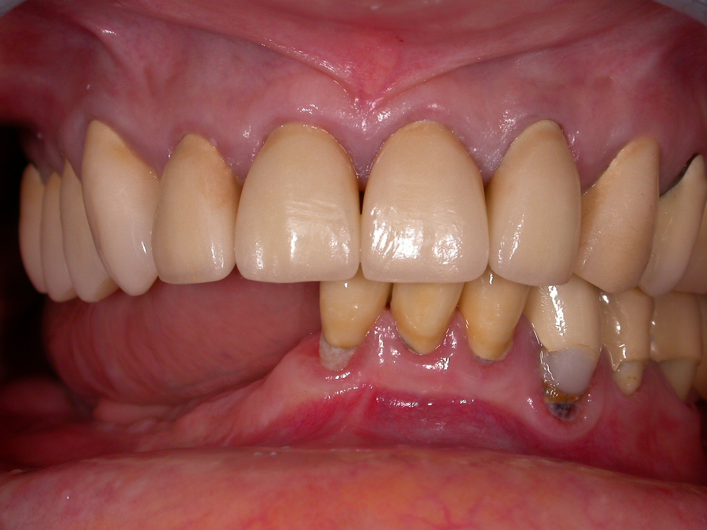
Unschöne Kronen aus Metallkeramik mit Zahnfleischproblematik
Vorher: Unschöne Kronen aus Metallkeramik mit Zahnfleischproblematik
Optimierung von Zähnen und Zahnleisch mit Vollkeramik
Nachher: Optimierung von Zähnen und Zahnleisch mit Vollkeramik
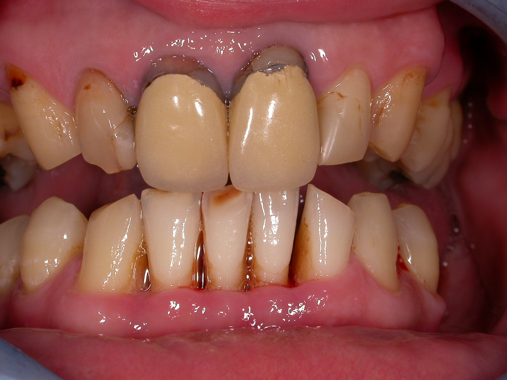
Fehlende Zähne und extremer Verschleiß durch intensives Zähneknirschen (Bruxismus)
Vorher: Fehlende Zähne und extremer Verschleiß durch intensives Zähneknirschen (Bruxismus)
Ersatz der fehlenden Zähne mit Implantaten und Komplettversorgung mit vollkeramischen Restaurationen und Wiederherstellung der ursprünglichen Höhe
Nachher: Ersatz der fehlenden Zähne mit Implantaten und Komplettversorgung mit vollkeramischen Restaurationen und Wiederherstellung der ursprünglichen Höhe
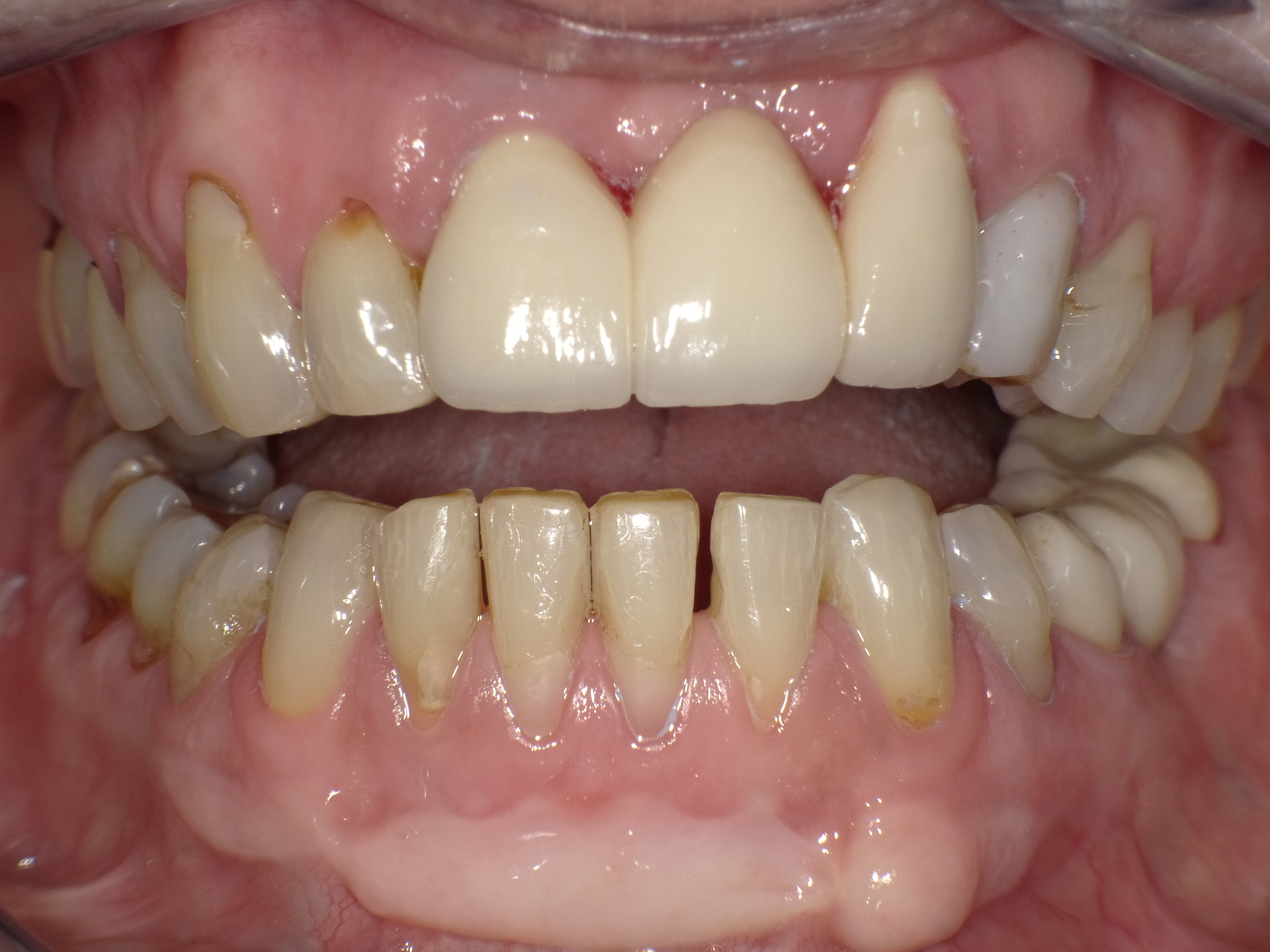
Oberkiefer Frontzähne mit Kunststofffüllungen
Vorher: Oberkiefer Frontzähne mit Kunststofffüllungen
Ästhethische Optimierung mit Veneers und Kronen aus Vollkeramik
Nachher: Ästhethische Optimierung mit Veneers und Kronen aus Vollkeramik
Oberkiefer Frontzähne mit Schmelzflecken
Vorher: Oberkiefer Frontzähne mit Schmelzflecken
Ästhetische Korrektur mit Veneers aus Vollkeramik
Nachher: Ästhetische Korrektur mit Veneers aus Vollkeramik
Patient mit unzufriedener Gesamtsituation
Vorher: Patient mit unzufriedener Gesamtsituation
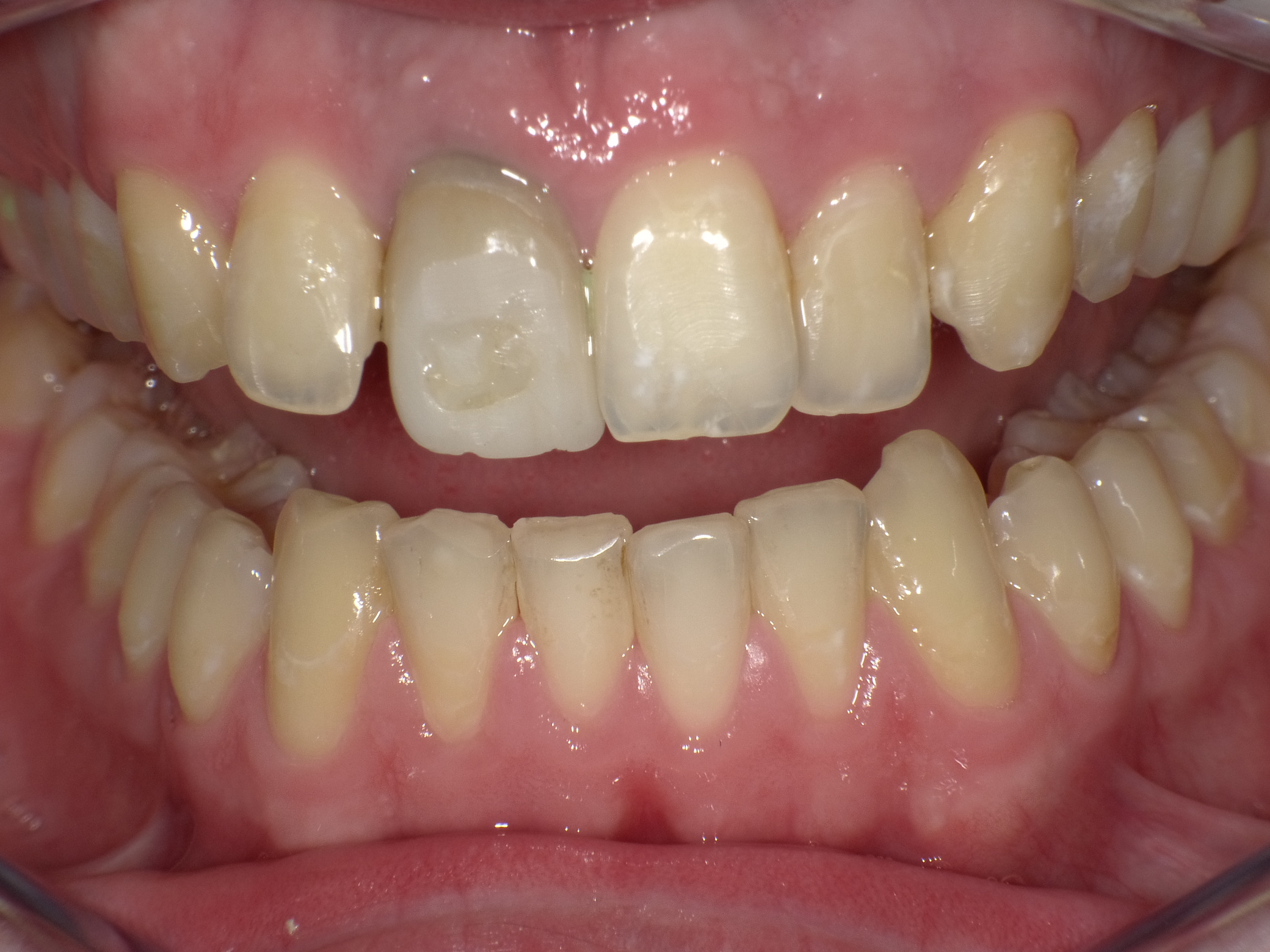
Korrektur in nur 2 Langzeitterminen
Nachher: Korrektur in nur 2 Langzeitterminen
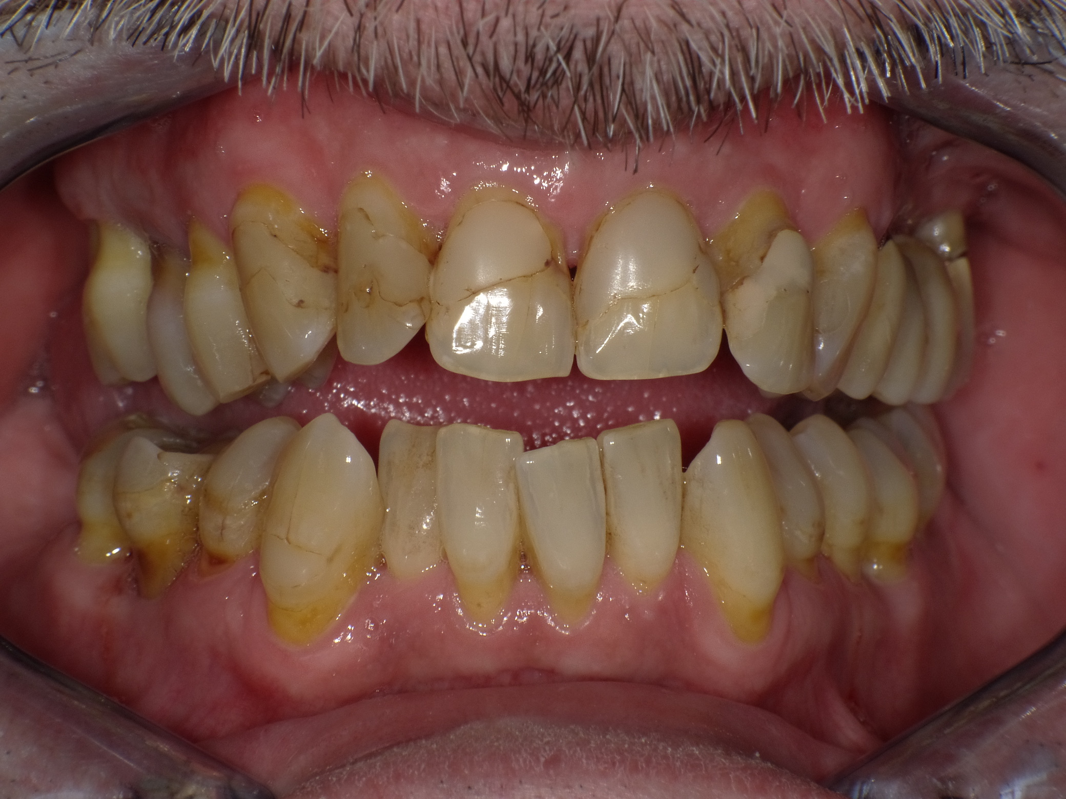
Angstpatient mit vielen Schäden und abgeknirschten Zähnen
Vorher: Angstpatient mit vielen Schäden und abgeknirschten Zähnen
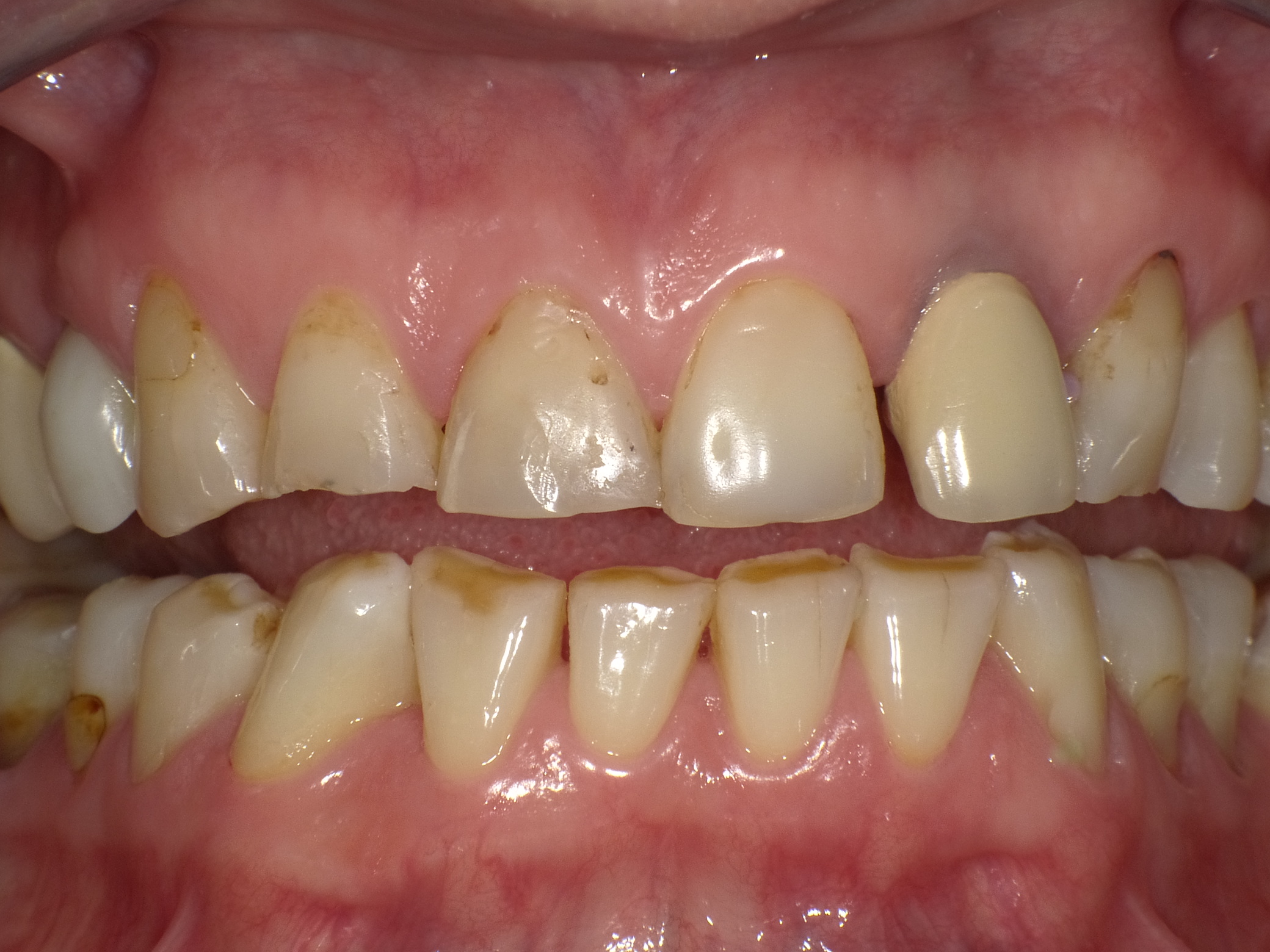
Komplettbehandlung mit Vollkeramik und einigen Implantaten
Nachher: Komplettbehandlung mit Vollkeramik und einigen Implantaten
Angstpatient
Vorher: Angstpatient
Komplettbehandlung in Sedierung in nur 2 Terminen mit Vollkeramik (das Bild wirkt etwas dunkel; wir basteln aber an den Fotos nicht herum)
Nachher: Komplettbehandlung in Sedierung in nur 2 Terminen mit Vollkeramik (das Bild wirkt etwas dunkel; wir basteln aber an den Fotos nicht herum)
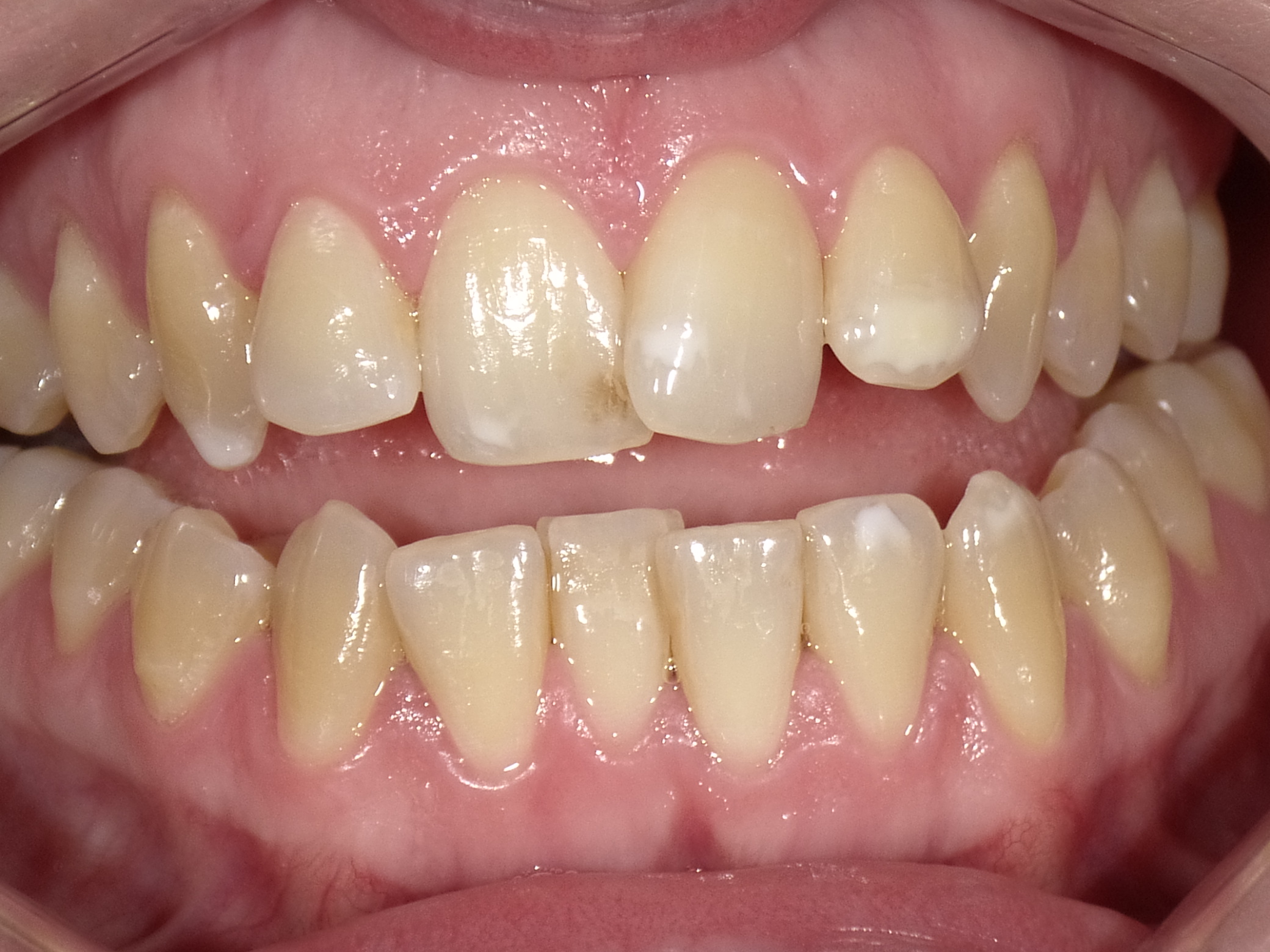
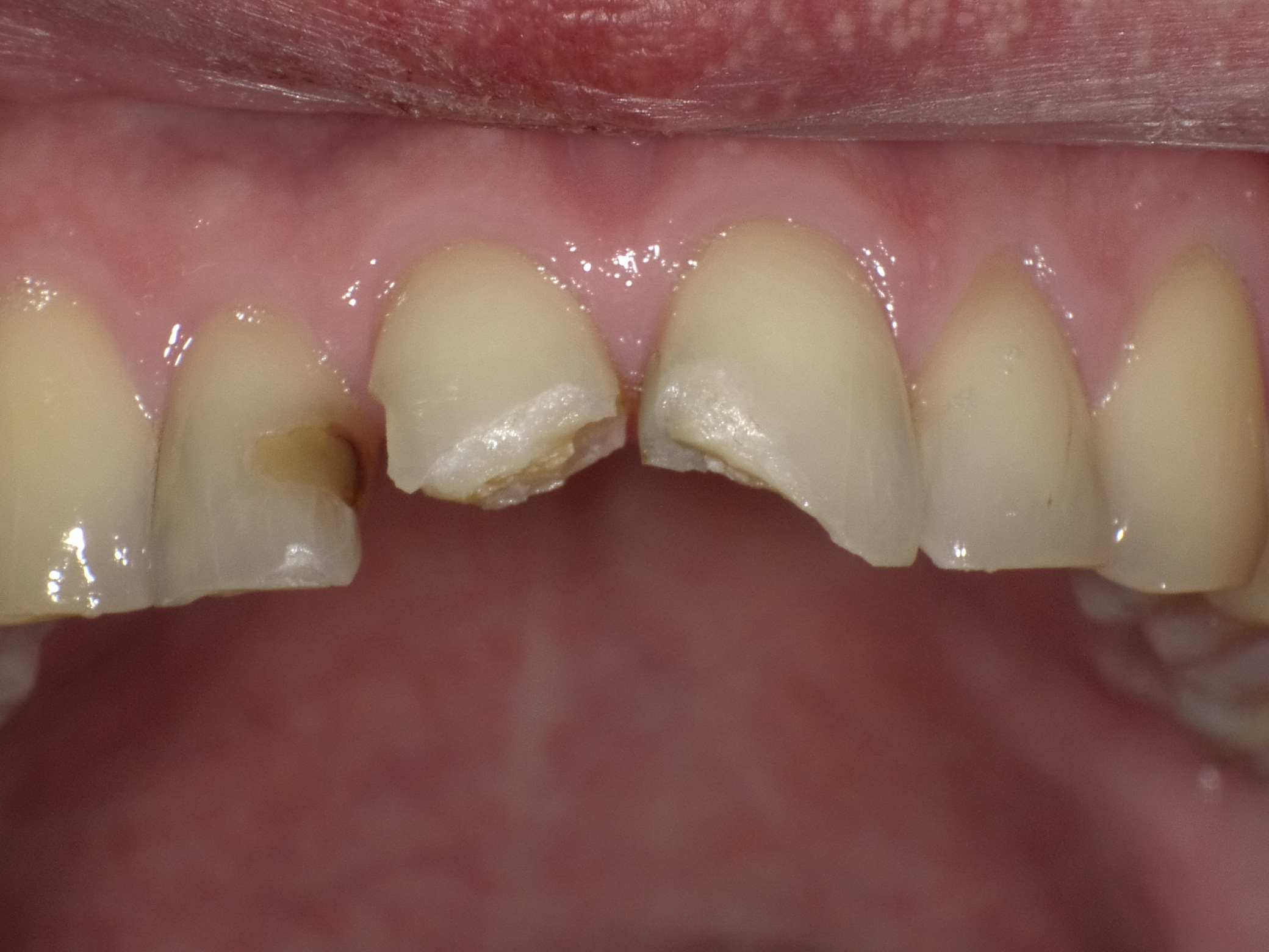
Situation nach Sturz
Vorher: Situation nach Sturz
Ästhetische Sofort-Rekonstruktion mit Microglass-Composite
Nachher: Ästhetische Sofort-Rekonstruktion mit Microglass-Composite
Unzufriedener Patient nach langjähriger Betreuung durch seinen "Hauszahnarzt" bei ihm im Dorf
Vorher: Unzufriedener Patient nach langjähriger Betreuung durch seinen "Hauszahnarzt" bei ihm im Dorf
Korrektur in 2 Langzeitterminen mit Vollkeramik
Nachher: Korrektur in 2 Langzeitterminen mit Vollkeramik
Unbefriedigende Ausgangssituation
Vorher: Unbefriedigende Ausgangssituation
Komplettbehandlung und ästhetische Optimierung in nur 2 Langzeitterminen mit Kronen und Veneers aus Vollkeramik
Nachher: Komplettbehandlung und ästhetische Optimierung in nur 2 Langzeitterminen mit Kronen und Veneers aus Vollkeramik
Eine etwas suboptimale Ausgangssituation
Vorher: Eine etwas suboptimale Ausgangssituation
Systematische Korrektur mit Parodontitis-Behandliung, Implantaten, Vollkeramischen Veneers und Kronen
Nachher: Systematische Korrektur mit Parodontitis-Behandliung, Implantaten, Vollkeramischen Veneers und Kronen
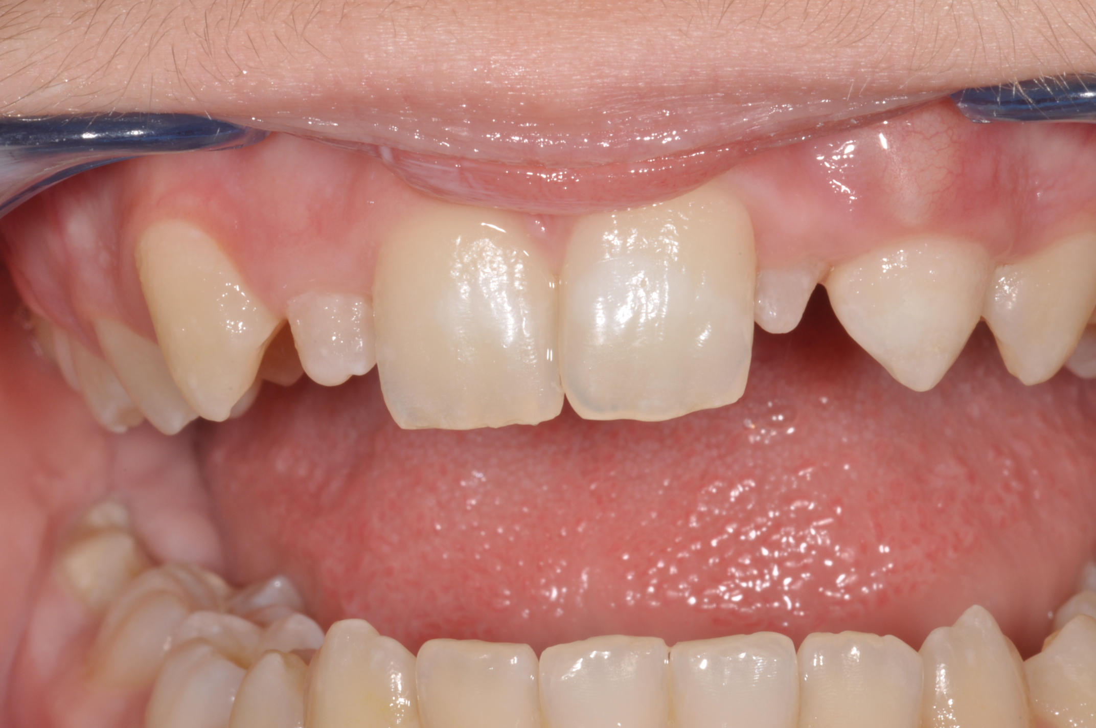
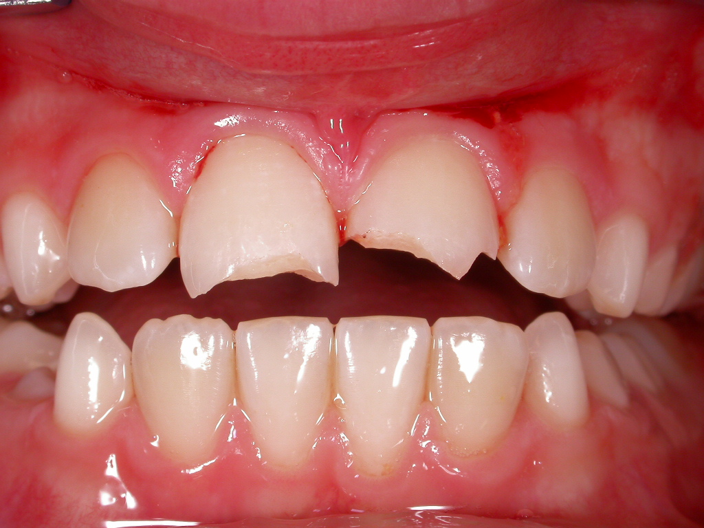
Frontzahnfrakturen nach Unfall
Vorher: Frontzahnfrakturen nach Unfall
Rekonstruktion mit vollkeramischen Kronen
Nachher: Rekonstruktion mit vollkeramischen Kronen
Angstpatient, der sich mittlerweile angewöhnt hatte, seine Zähne möglichst nicht zu zeigen und dadurch unfreundlich wirkte
Vorher: Angstpatient, der sich mittlerweile angewöhnt hatte, seine Zähne möglichst nicht zu zeigen und dadurch unfreundlich wirkte
Völlig anderes Auftreten mit total positiver Ausstrahlung; Oberkiefer Stegversorgung auf 6 Implantaten und Unterkiefer vollkeramische Kronen und Brücken
Nachher: Völlig anderes Auftreten mit total positiver Ausstrahlung; Oberkiefer Stegversorgung auf 6 Implantaten und Unterkiefer vollkeramische Kronen und Brücken
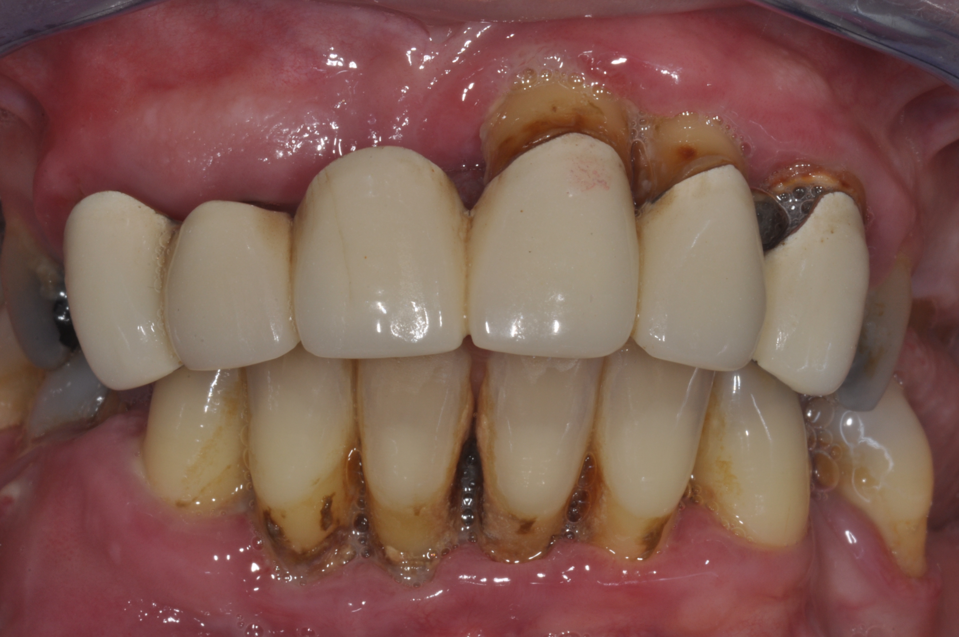
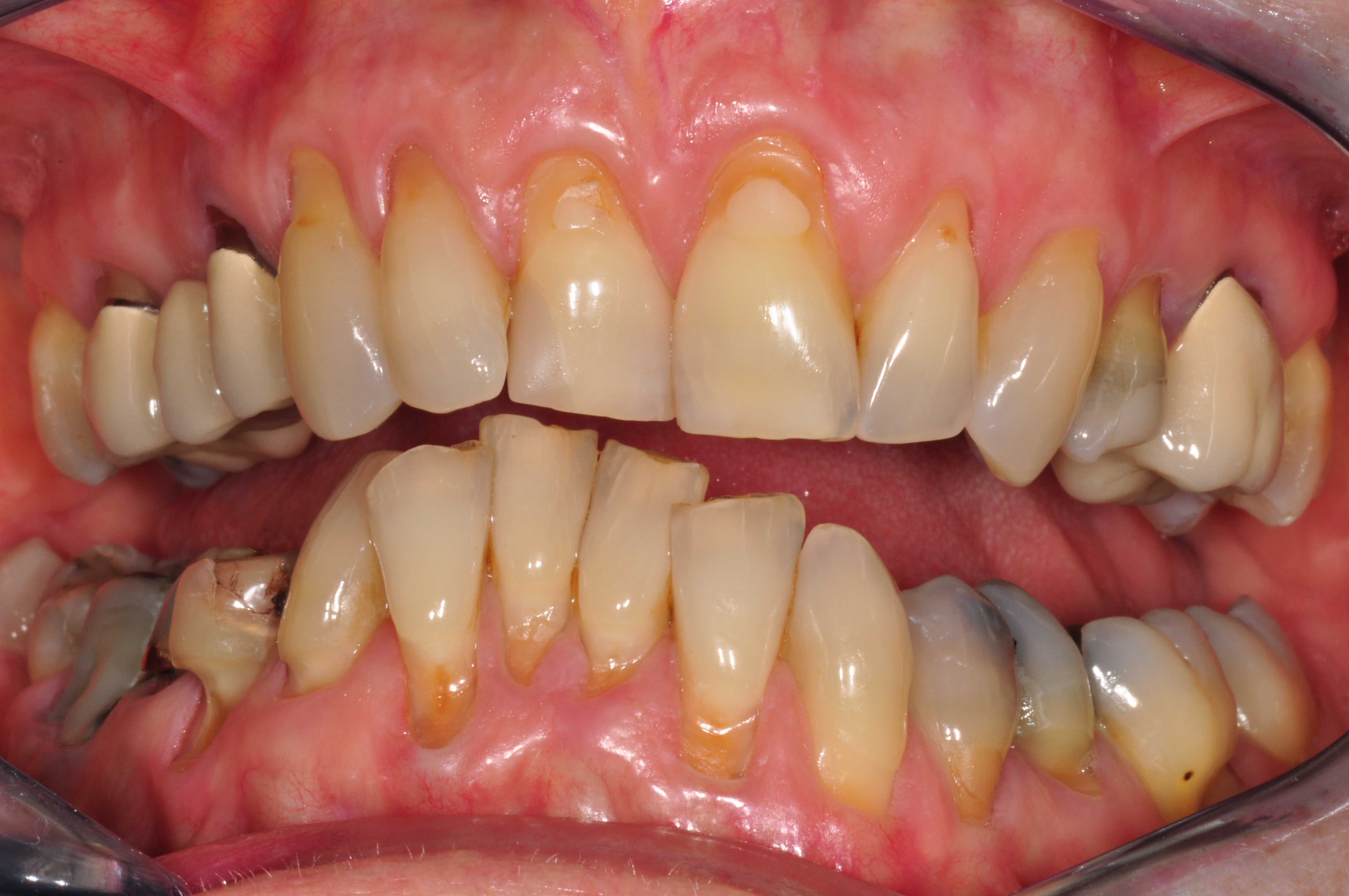
Sehr unzufriedener Patient, der immer wieder Reparaturen mit Kunststoff und einzelnen Kronen bei seinem langjährigen Zahnarzt bekommen hat
Vorher: Sehr unzufriedener Patient, der immer wieder Reparaturen mit Kunststoff und einzelnen Kronen bei seinem langjährigen Zahnarzt bekommen hat
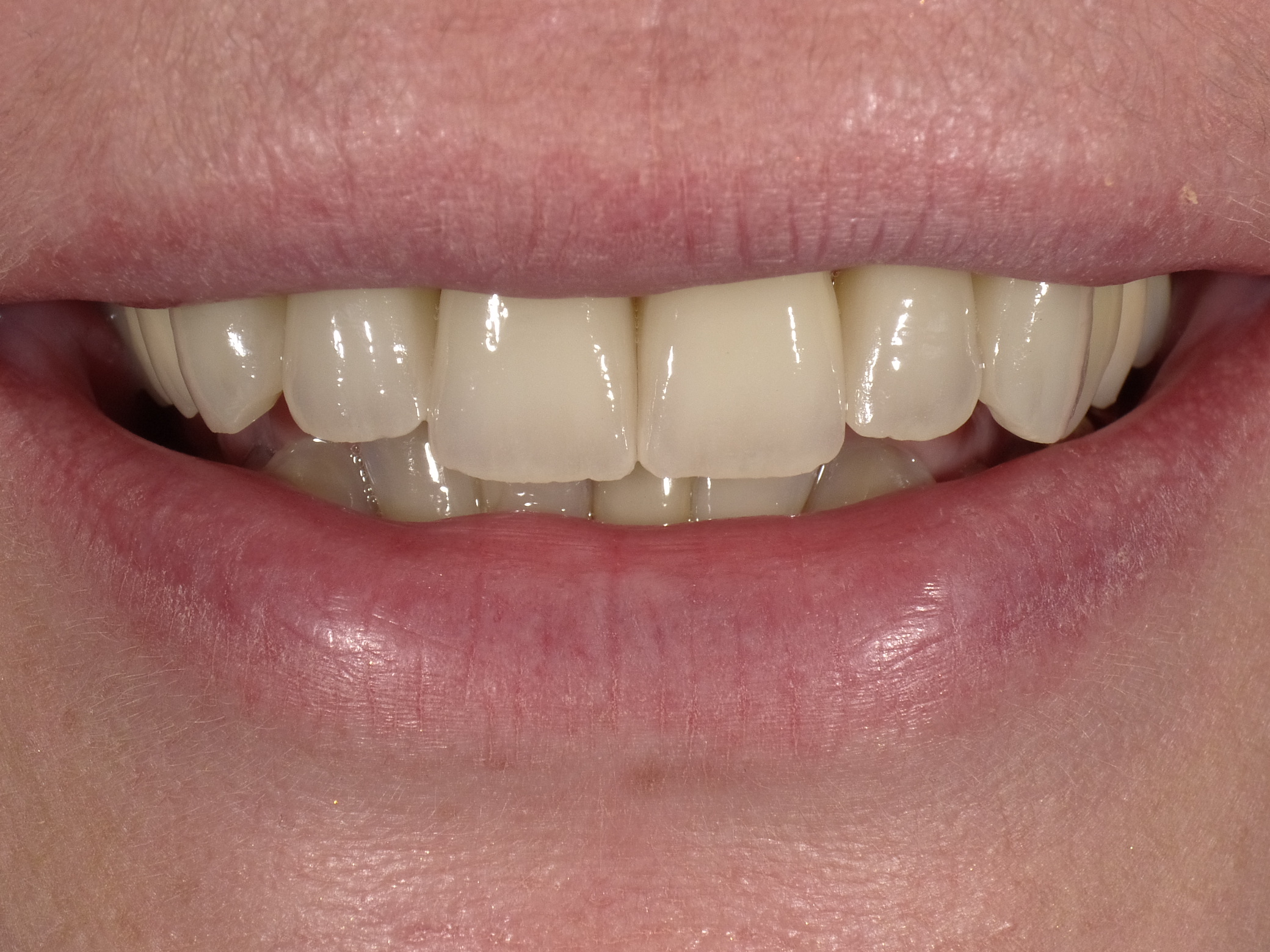
Kompletterneuerung mit vollkeramischen Veneers und Kronen; vorher Endo-Revisionen unter dem Mikroskop und PAR-Behandlung; Entfernung der Weisheitszähne in unserer Praxis
Nachher: Kompletterneuerung mit vollkeramischen Veneers und Kronen; vorher Endo-Revisionen unter dem Mikroskop und PAR-Behandlung; Entfernung der Weisheitszähne in unserer Praxis
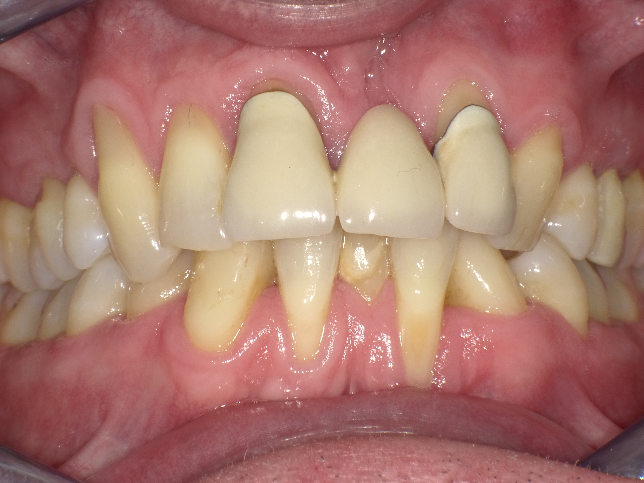
Gelbliche, camembertfarbige Kronen und dunkler Frontzahn nach Wurzelbehandlung
Vorher: Gelbliche, camembertfarbige Kronen und dunkler Frontzahn nach Wurzelbehandlung
Entfernung des wurzelbehandelten Zahnes; Sofort-Implantat und leuchtende Vollkeramik-Kronen
Nachher: Entfernung des wurzelbehandelten Zahnes; Sofort-Implantat und leuchtende Vollkeramik-Kronen
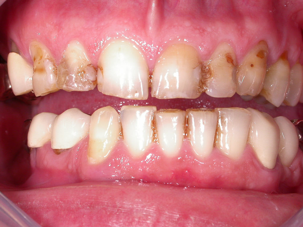
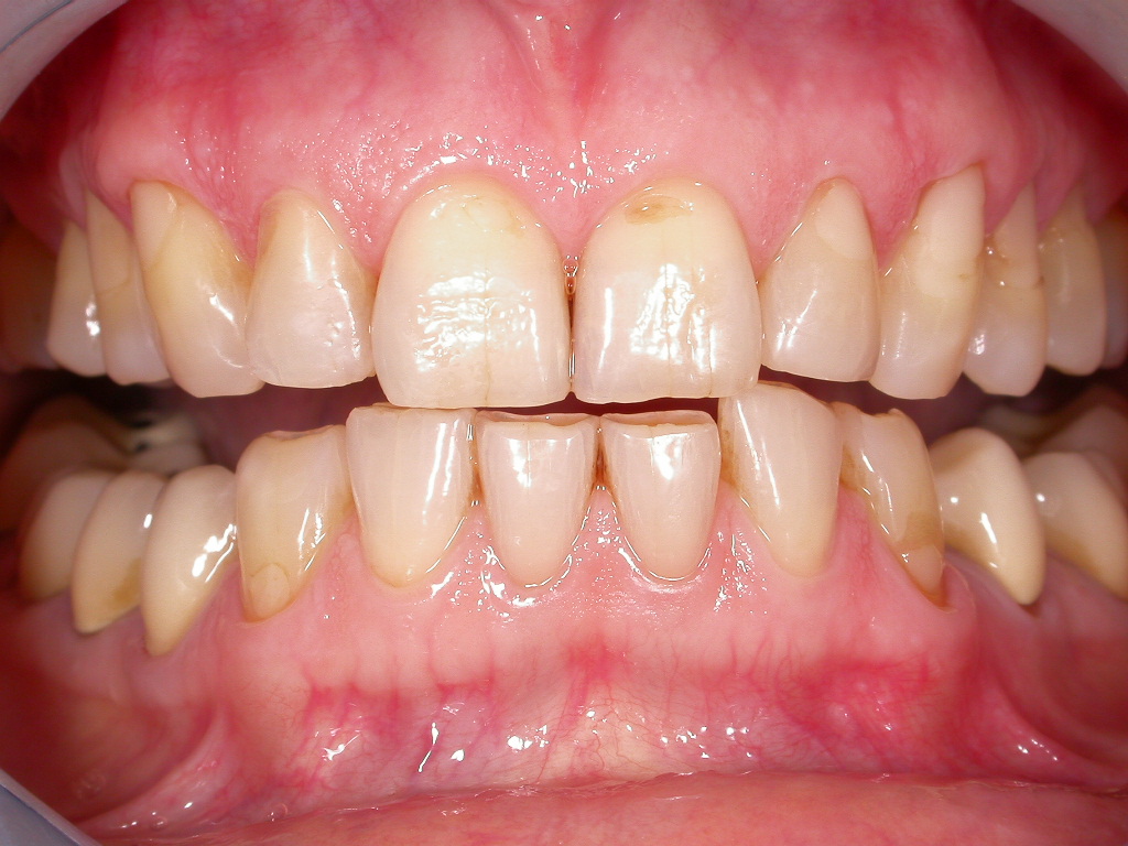
Sehr unzufriedene Patientin nach langjähriger Betreuung mit zahlreichen einzelnen Reparaturen
Vorher: Sehr unzufriedene Patientin nach langjähriger Betreuung mit zahlreichen einzelnen Reparaturen
Gesamtbehandlung in wenigen Langzeitterminen mit keramischen Kronen, Veneers und Implantaten
Nachher: Gesamtbehandlung in wenigen Langzeitterminen mit keramischen Kronen, Veneers und Implantaten
Angstpatientin mit unschönen Frontzähnen
Vorher: Angstpatientin mit unschönen Frontzähnen
Korrektur in Sedierung in nur zwei Terminen mit Vollkeramik
Nachher: Korrektur in Sedierung in nur zwei Terminen mit Vollkeramik
Patientin mit dem Wunsch nach ästhetischer Optimierung
Vorher: Patientin mit dem Wunsch nach ästhetischer Optimierung
Korrektur des gesamten Oberkiefers mit vollkeramischen Veneers und Kronen in nur 2 Terminen; Unterkiefer: Bleaching
Nachher: Korrektur des gesamten Oberkiefers mit vollkeramischen Veneers und Kronen in nur 2 Terminen; Unterkiefer: Bleaching
Generalisierte Schmelzanomalie
Vorher: Generalisierte Schmelzanomalie
Korrektur der Oberkieferfront durch 6 vollkeramische Veneers in nur 2 Terminen
Nachher: Korrektur der Oberkieferfront durch 6 vollkeramische Veneers in nur 2 Terminen
Abgesunkene Bisslage mit Lückenbildung in der Front; Wunsch des Patienten nach ästhetischer Verbesserung; Angstpatient
Vorher: Abgesunkene Bisslage mit Lückenbildung in der Front; Wunsch des Patienten nach ästhetischer Verbesserung; Angstpatient
Komplettbehandlung in nur 2 Terminen mit Veneers und Keramikkronen; Behandlung des Angstpatienten unter Sedierung
Nachher: Komplettbehandlung in nur 2 Terminen mit Veneers und Keramikkronen; Behandlung des Angstpatienten unter Sedierung

Zahntechnisches Dentaldesign von Profis ; Deutsche Premium-Zahntechnik versus Billig-Zahnersatz

Zahnersatz, Veneers, Kronen, Inlays etc. werden bei uns für Sie völlig individuell, wie ein nur für Sie persönlich entworfenes, einmaliges Schmuckstück, von ganz besonderen Zahntechnikemeistern nach unseren Vorgaben angefertigt.

Es liegt auf der Hand, dass es in der Zahntechnik erhebliche Unterschiede in Ausführung, Qualität, ästhetischer Gestaltung, Perfektion und Preis gibt, weil die Ansprüche eines jeden einzelnen sehr unterschiedlich sind, aber auch, weil der Beruf des Zahntechnikers ein Handwerksberuf ist, der so unterschiedlich ausgeübt werden kann, wie jeder andere Beruf auch...

Es gibt die besonders begnadeten Techniker, die scheinbar wie von selbst und ohne große Mühe den in unseren Augen perfekten Zahnersatz herstellen können, Ästheten, Perfektionisten, die viele Fortbildungen besuchen, immer auf dem neuesten Stand der Technik sein wollen und einfach "ein Händchen" für ihren Beruf haben.
Es gibt aber auch die weniger Begabten, die weniger Motivierten oder die vom Preisdruck Gegängelten, die sich jeden Tag mühen müssen, gerne nach Schema "F" vorgehen, nur die Minimalanforderungen erfüllen wollen, sollen oder können; dazwischen auch alle möglichen anderen Talente mit unterschiedlichem manuellen Geschick, Fähigkeiten und Anspruch. Und es gibt mittlerweile Billig-Zahnersatz "made in China", den man zunächst wegen des deutschen Namens des offiziellen Labors mit Sitz in Deutschland als solchen zumindest auf dem Papier erst gar nicht erkennt.

Ästhetisch richtig schöner Zahnersatz mit langer Haltbarkeit, wie oben auf der rechten Seite abgebildet, entsteht aber nur durch die optimale Zusammenarbeit von fähigen Zahnärzten und den erstgenannten, begnadeten Zahntechnikern, die unsere Vorstellung von dentaler Ästhetik teilen.

Deshalb arbeiten wir nur mit speziell ausgesuchten Meisterlaboren und Dentaldesignern zusammen.
Das ist zugegebenermaßen nicht ganz billig, aber unsere Zielsetzung ist auch nicht "ganz billig", sondern "ganz besonders gut" und langlebig; und zwar in so wenig Terminen, wie möglich!

Für uns ist diese Vorgehensweise der einzige für uns gangbare Weg für die Zufriedenheit unserer Patienten, um Sie auch langfristig zufriedenstellen zu können und damit auch uns die Freude an unserem Beruf langfristig zu erhalten.

Wir wollen und können uns nicht mit den Kriterien der Gesetzlichen Krankenversicherung zufrieden geben, die da lauten: "ausreichend, wirtschaftlich, zweckmäßig"...

Uns ist bewusst, dass unsere Vorgehensweise nicht für jeden das Richtige ist und sein kann; uns ist aber auch bewusst, dass diese Form der Berufsausübung leider eher die Ausnahme, als die Regel ist, dass es Patienten gibt, die diese Form einer Zusammenarbeit mühsam suchen und eine solche zahnmedizinische Behandlung gerne hätten und zu schätzen wissen.

Für diese Patienten sind wir der richtige Ansprechpartner.
Gerne beraten wir auch Sie!

Ihre schönen und gesunden Zähne sind unsere Visitenkarte!
Wir freuen uns, Ihnen unsere Hilfe anbieten zu können.
Ihre Dres. Classen, Zahnärzte in Jülich